無料カウンセリング・セカンドオピニオンのご予約・お問い合わせ

【受付時間】平日 10:00-19:00、土 10:00-18:30 【休診日】木曜、日曜、祝日

症例7 歯周矯正

歯周矯正

歯並びが気になる
ぐらぐらする歯がある

治療期間:2年10ケ月 予後:10年 治療費:¥7,500,000


治療内容

  • 骨増大術
  • 咬合治療
  • インプラント
  • 矯正
  • 再生療法

リスク

  • 手術に伴う腫れ
  • 痛み
  • 皮下出血
  • 下歯槽菅麻痺
  • 鈍麻
  • ブラケット装着時のカリエスリスク
  • 知覚過敏
治療内容:
骨増大術
咬合治療
インプラント
矯正
再生療法
リスク:
手術に伴う腫れ,痛み,皮下出血,下歯槽菅麻痺,鈍麻,ブラケット装着時のカリエスリスク,知覚過敏

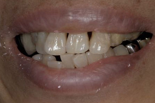
治療前01

First Examination

治療前02

First Examination

治療中01

Treatment Plan

治療中02

Surgical Assisted Orthodontics + Directanchorage
「部分欠損歯列、重度歯周炎症例では矯正治療のフォースシステムが難しい」

治療中03

After Perio-Ortho

治療中04

Reevaluation

治療中05

Lw Anterior Intrusion
Space Management
Coordination

治療後01

First Examination
Final Result

治療後02

Final Restorations

治療後03

First Examination
Final Result

治療後04

First Examination
Maintenance (after 4 years)

治療後05

First Examination
Maintenance (after 8 years)

治療後06

First Examination
Maintenance (after 8 years)

同じカテゴリーのその他の症例

無料カウンセリング
Free Counseling

  • 他の医院で「治療できないと言われたが、本当にできないのか?
  • 自分には、どのような治療の可能性があるのか?
  • これ以上の治療は難しいと言われた
  • 私でも再生治療が可能なのか診てほしい
  • 治療の費用を確認したい
  • 治療の回数・期間を確認したい
  • 今後どうしたら良いのか?幅広い視野で検討して欲しい
  • 歯をどうしても残したい・抜歯したくない
  • もう歯のことで悩むのは最後にしたい
  • 精密根管治療、歯周再生治療がどんな治療か詳しく知りたい

上記のような方は、無料カウンセリングの受診をお勧めいたします。無料カウンセリングを受けたからといって、当院で治療を開始する義務はありませんので、安心して受診ください。

無料カウンセリングについて
詳しくはこちらから