無料カウンセリング・セカンドオピニオンのご予約・お問い合わせ

【受付時間】平日 10:00-19:00、土 10:00-18:30 【休診日】木曜、日曜、祝日

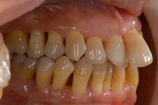
症例4 インプラント+PERIO

インプラント+PERIO

他院にて歯周病重度と言われすべて抜歯して入れ歯にしましょうと言われた
セカンドオピニオンにて来院

治療期間:2年6ケ月 予後:10年 治療費:¥5,500,000


治療内容

  • インプラント治療
  • 咬合治療
  • 補綴治療
  • GBR
  • 歯周外科
  • 歯周組織再生療法
  • 矯正

リスク

  • 手術に伴う腫れ
  • 痛み
  • 出血
  • 皮下出血
  • 神経麻痺
  • 鈍麻
  • 知覚過敏
  • ブラケット装着時のカリエスリスク
治療内容:
インプラント治療
咬合治療
補綴治療
GBR
歯周外科
歯周組織再生療法
矯正
リスク:
手術に伴う腫れ,痛み,出血,皮下出血,神経麻痺,鈍麻,知覚過敏, ブラケット装着時のカリエスリスク

治療前01

First Examination 1
First Examination 2

治療前02

笑顔
安静時

治療後01

Final Restorations

治療後02

Before
After

治療後03

After 7 Years
Before
After
Before
After

治療後04

After 8 Years
Before
After

治療後05

After 8 Years
Before
After

治療後06

After 9 Years

治療後07

After 9 Years
Before
After

同じカテゴリーのその他の症例

無料カウンセリング
Free Counseling

  • 他の医院で「治療できないと言われたが、本当にできないのか?
  • 自分には、どのような治療の可能性があるのか?
  • これ以上の治療は難しいと言われた
  • 私でも再生治療が可能なのか診てほしい
  • 治療の費用を確認したい
  • 治療の回数・期間を確認したい
  • 今後どうしたら良いのか?幅広い視野で検討して欲しい
  • 歯をどうしても残したい・抜歯したくない
  • もう歯のことで悩むのは最後にしたい
  • 精密根管治療、歯周再生治療がどんな治療か詳しく知りたい

上記のような方は、無料カウンセリングの受診をお勧めいたします。無料カウンセリングを受けたからといって、当院で治療を開始する義務はありませんので、安心して受診ください。

無料カウンセリングについて
詳しくはこちらから