治療内容
インプラント治療 骨増大術 補綴治療 歯周外科手術 審美治療 歯周組織再生療法 矯正 歯周病治療 再生療法 FーOPE 咬合再構成 PAOOコルチコトミー 抜歯
リスク
手術に伴う腫れ 痛み 出血 皮下出血 神経麻痺 鈍麻 知覚過敏 ブラケット装着時のカリエスリスク
- 治療内容:
- インプラント治療
- 骨増大術
- 補綴治療
- 歯周外科手術
- 審美治療
- 歯周組織再生療法
- 矯正
- 歯周病治療
- 再生療法
- FーOPE
- 咬合再構成
- PAOOコルチコトミー
- 抜歯
- リスク:
- 手術に伴う腫れ,痛み,出血,皮下出血,神経麻痺,鈍麻,知覚過敏, ブラケット装着時のカリエスリスク
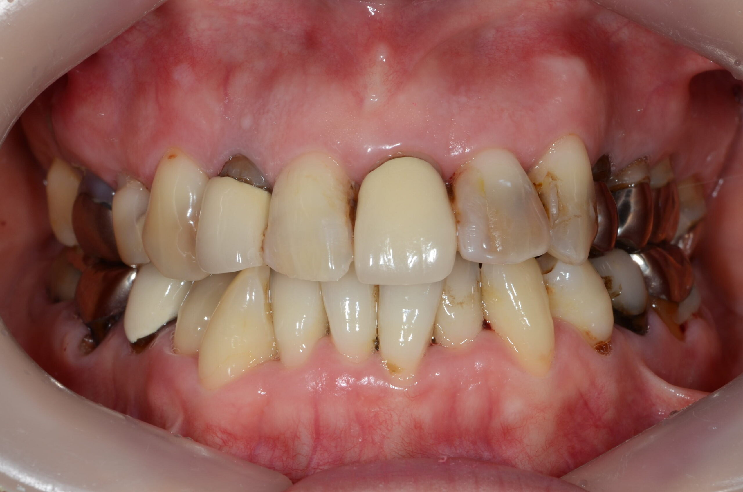
静岡県在住
歯周病・虫歯・歯列不正・審美障害・不良補綴物・不良根管治療・不正咬合が主な診断です
グラグラになった歯の将来が心配になり、当院に受診されました

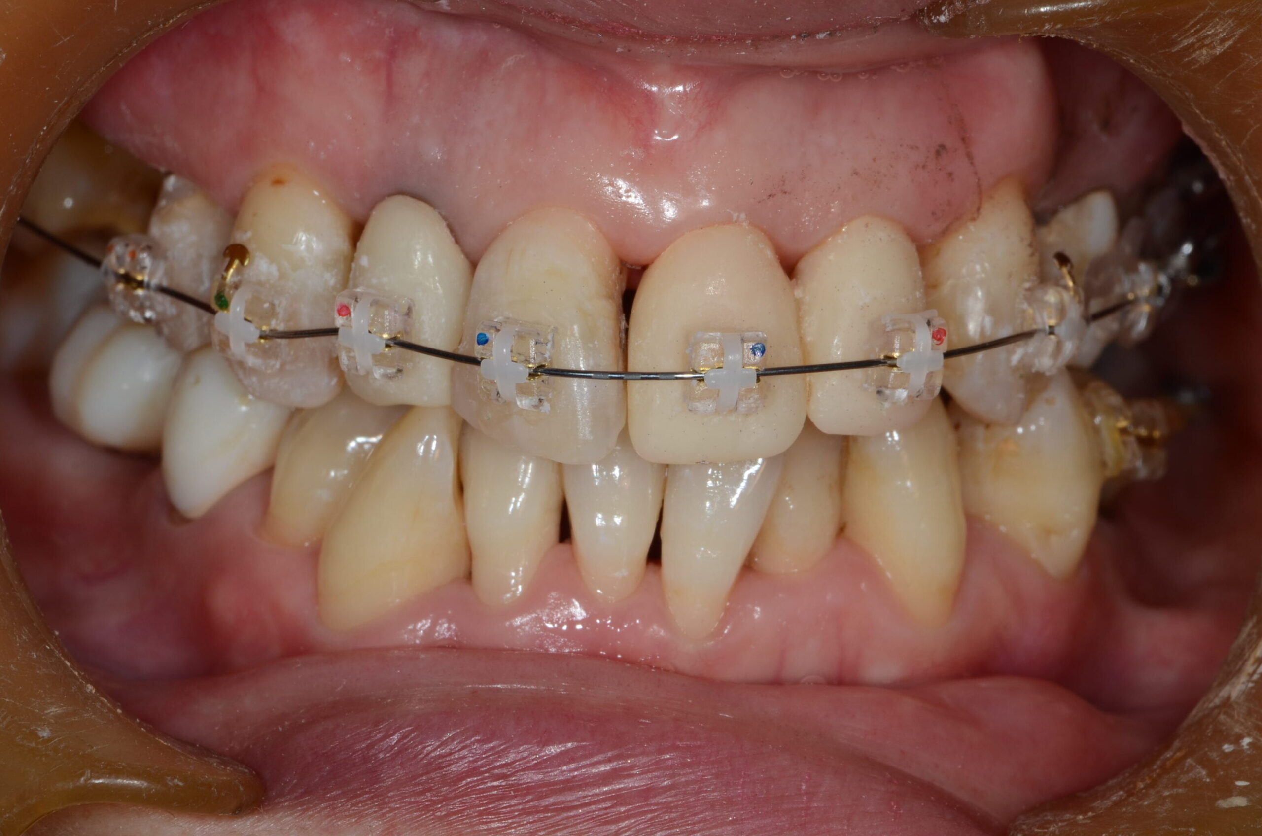
インプラント+PERIO


上下ともにPAOOというOPEを行い、薄い骨を補填しました
また骨をわざと傷つけて骨代謝を利用し、歯が骨の中を移動しやすくしました

インプラントのOPEです
2回目の頭出しのOPEと、歯肉移植術を同時に行いました
今回は角化歯肉といって硬い歯肉を上顎から採取して付け足しました
角化歯肉が少ない、またはない状態でインプラント治療を行うと清掃しづらく、衝撃にも弱くなってしまうため予後が良くないこともあります
ただただOPEを行えば良しではなく、予後も考慮して行なっていきます

上顎前歯の模型です
ジルコニアの上にセラミックを焼き付けた被せ物です
ジルコニアは人口ダイヤモンドにちかい強さをもつため、強度を増してくれます
上にセラミックを焼き付けることでより審美性に優れた被せ物をつくることが出来ます

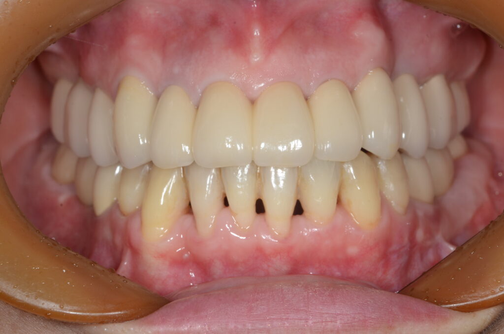
治療終了して1年後です
メインテナンスに移行した現在も定期的に噛み合わせを確認したり、被せ物にチッピング(欠け)がないかを点検させていただいてます
また自費のEMSメインテナンスも1年に1回お受けになられているため、被せ物や天然歯のツヤ感もキープされています
歯周病でも治療を検討できます
今回の症例のように歯周病でも骨増大術を行えばインプラント治療を行うこともできます。
また、PAOOを行えば歯列矯正も検討できます。
歯周病だからといって治療を諦める必要はありません💪🏼
顎-顔面包括治療は1本単位で見ていくのではなく1口腔単位で診て、なるべく再治療がないように精密検査から行います。その1週間後に、診断書とお見積書をもとに院長と約1時間のカウンセリングを行います。
他院にて歯周病だから治療ができないと言われた方もぜひ当院の初診カウンセリングにお越しください!
初診カウンセリングのご予約は下記のリンク、またはお電話にて承っております!
当院の治療メニューについては上記のリンクをご覧ください!
歯周病については下記のリンクも併せてご覧ください!