無料カウンセリング・セカンドオピニオンのご予約・お問い合わせ

【受付時間】平日 10:00-19:00、土 10:00-18:30 【休診日】木曜、日曜、祝日

2026年4月10日

歯周病が気になる/名古屋歯周病治療/全顎治療/


初診から約20年経過の長期症例

稲沢市にお引越しをされることになり、名古屋市にある当院へ転院されました

主な診断は、歯周病・虫歯・審美障害・不良補綴物・不正咬合・歯肉退縮です

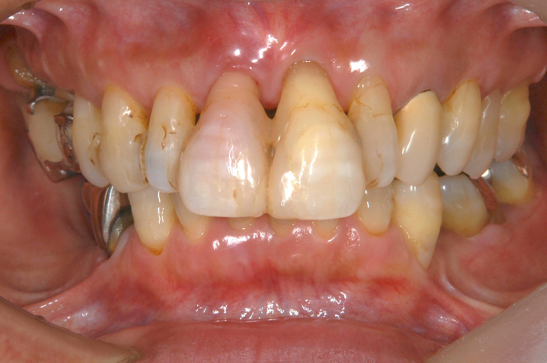
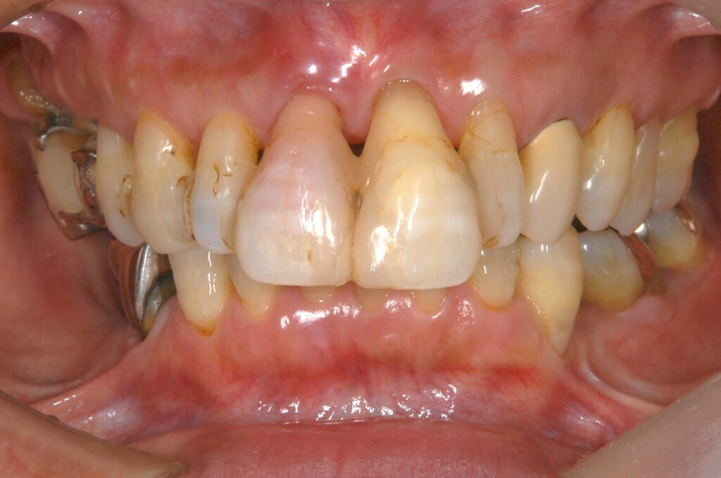
初診
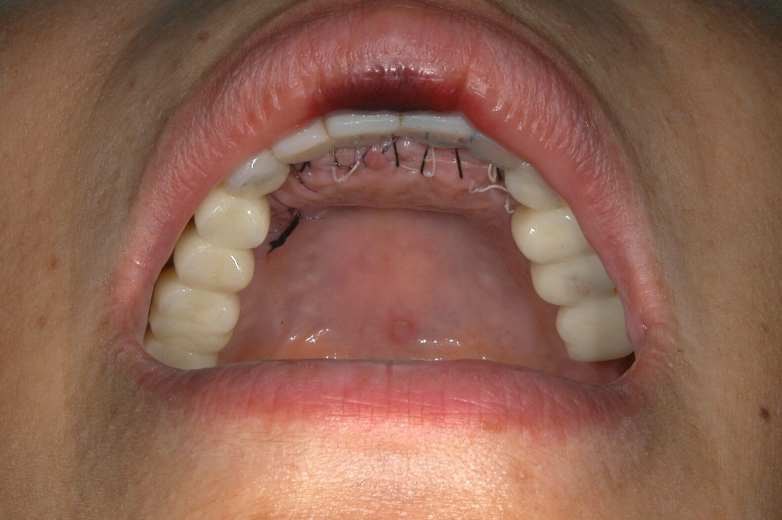
治療中①

残念ながら残せないと診断された歯は全て抜歯をして、Br(橋渡しの連結)の仮歯をつけて行いました

この症例で行ったOPEは歯周外科手術・歯周組織再生療法・インプラント・歯肉移植術・PAOOです

治療中③ このように多数歯の被せ物を作製する際には咬合も精密に採得して技工所に送ります

ただただ作製するのではなく、審美面でも機能面でも長く使っていただけるように設計していきます

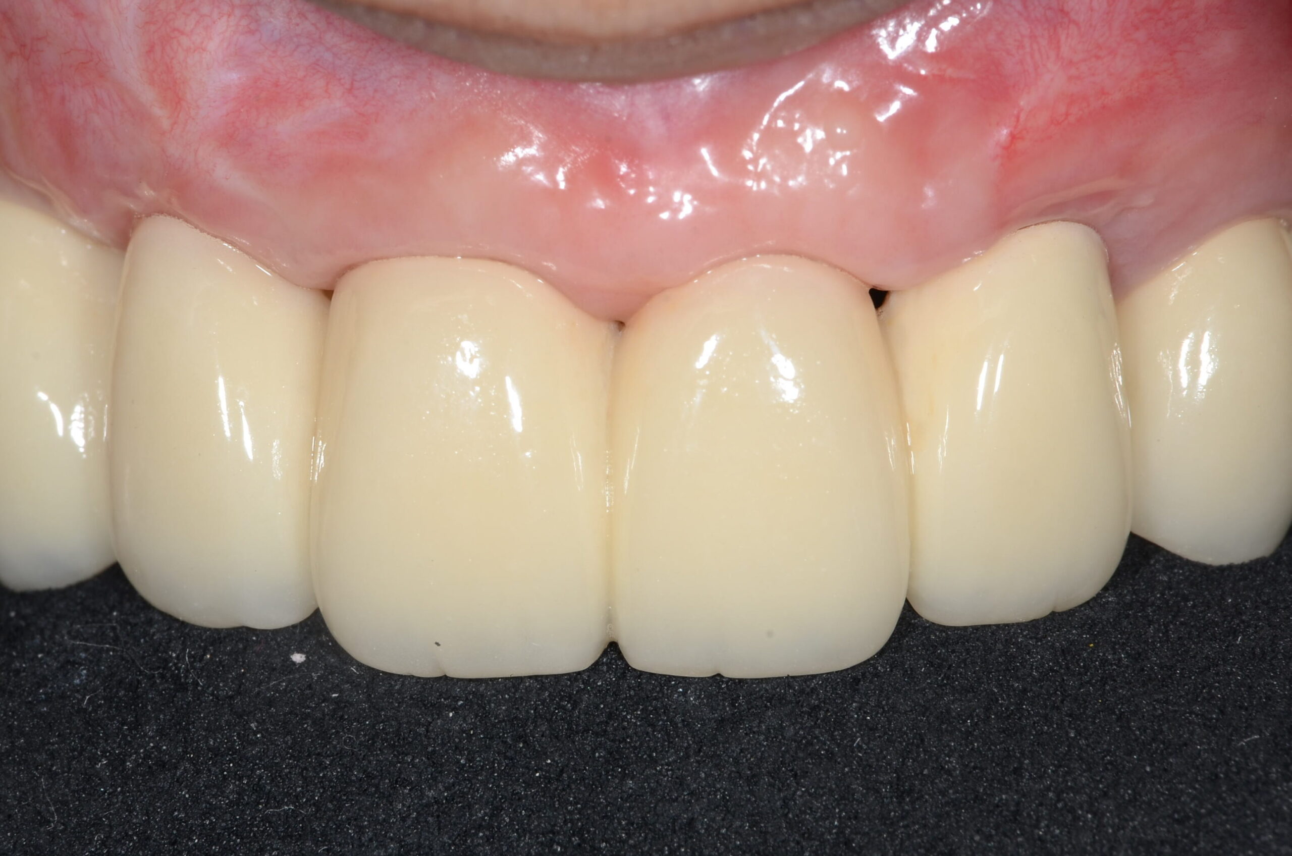
治療④ 上の前歯の被せ物

実際にお口の中にSETした写真になります

現在

3ヶ月に1度、定期検診を受診してくださっています

丁寧なセルフケアが行き届いているため、予後がとても安定しています

歯周病についても歯周ポケット数値や歯肉の状態も良い状態をキープされています

定期検診の際には、虫歯の有無や歯周病の具合だけでなく、被せ物に緩みがないか、噛み合わせのバランスが適切かどうかも併せて確認をしていきます

https://www.jacp.net 歯周病についてはこちらをご覧ください

初診カウンセリングのお申し込みお待ちしております

2026年4月2日

グラグラする歯は抜け落ちるまで待ちましょうと言われた/インプラント+PERIO/顎-顔面包括治療


静岡県在住

歯周病・虫歯・歯列不正・審美障害・不良補綴物・不良根管治療・不正咬合が主な診断です

グラグラになった歯の将来が心配になり、当院に受診されました

インプラント+PERIO

初診時
治療中①(下顎も矯正を行いました)

上下ともにPAOOというOPEを行い、薄い骨を補填しました

また骨をわざと傷つけて骨代謝を利用し、歯が骨の中を移動しやすくしました

治療中②

インプラントのOPEです

2回目の頭出しのOPEと、歯肉移植術を同時に行いました

今回は角化歯肉といって硬い歯肉を上顎から採取して付け足しました

角化歯肉が少ない、またはない状態でインプラント治療を行うと清掃しづらく、衝撃にも弱くなってしまうため予後が良くないこともあります

ただただOPEを行えば良しではなく、予後も考慮して行なっていきます

治療中③

上顎前歯の模型です

ジルコニアの上にセラミックを焼き付けた被せ物です

ジルコニアは人口ダイヤモンドにちかい強さをもつため、強度を増してくれます

上にセラミックを焼き付けることでより審美性に優れた被せ物をつくることが出来ます

治療終了後

治療終了して1年後です

メインテナンスに移行した現在も定期的に噛み合わせを確認したり、被せ物にチッピング(欠け)がないかを点検させていただいてます

また自費のEMSメインテナンスも1年に1回お受けになられているため、被せ物や天然歯のツヤ感もキープされています

歯周病でも治療を検討できます

今回の症例のように歯周病でも骨増大術を行えばインプラント治療を行うこともできます。

また、PAOOを行えば歯列矯正も検討できます。

歯周病だからといって治療を諦める必要はありません💪🏼

顎-顔面包括治療は1本単位で見ていくのではなく1口腔単位で診て、なるべく再治療がないように精密検査から行います。その1週間後に、診断書とお見積書をもとに院長と約1時間のカウンセリングを行います。

他院にて歯周病だから治療ができないと言われた方もぜひ当院の初診カウンセリングにお越しください!

初診カウンセリングのご予約は下記のリンク、またはお電話にて承っております!

当院の治療メニューについては上記のリンクをご覧ください!

歯周病については下記のリンクも併せてご覧ください!

https://www.jacp.net